膝蓋骨脱臼とは?
パテラとは、膝のお皿(膝蓋骨)が正常な溝からずれてしまう状態を指し、正式には「膝蓋骨脱臼」と呼ばれます。
小型犬で多く発生し、痛みや跛行(びっこ)を引き起こす原因となります。
皆さんの愛犬は、こんなトラブルを抱えていませんか?
- 脚を上げて歩く
- 膝関節の痛み、腫れ
- ジャンプや走るのを嫌がる
- 長時間立っていられない

原因と分類
- 先天性
- 骨格の形成異常により膝蓋骨が
溝から外れやすい(内側が一般的)
- 後天性
- 外傷や過度な負荷による靭帯・筋肉の緩み、
関節を包む膜(関節包)の損傷
重症度分類(グレード)
-
- GT
- 手で押すと脱臼するが、自然に戻る
-
- GU
- 時々脱臼するが、自然に戻る
-
- GV
- 常に脱臼し、手で整復してもすぐに脱臼
-
- GW
- 常に脱臼し、整復不可能
診断方法
-
- ①問診・身体検査
- 跛行の有無、屈伸時の痛みや音鳴りをチェック
-
- ②レントゲン検査
- 骨の形成異常、関節の状態を評価
-
- ③CT検査(必要時)
- 3次元的に骨形状を把握し、手術計画に活用

治療方法
-
保存療法
- 適応適応適応
- 軽度の症状で日常生活に支障がない場合
- 内容
- ・体重管理(ダイエット)
・関節サポートサプリメント(ωー3脂肪酸等)
・安静管理・リハビリ運動
-
外科治療(手術)
- 適応
- 重度の跛行や痛みがある場合
- 主な手術法
-
滑車溝形成術
膝蓋骨が収まる溝を深く作る。脛骨粗面転位術 (Tibial Tuberosity Transposition)
パテラは通常内側に外れることが多いため、膝蓋骨を
固定する靭帯を外向きに引っ張ることで外れにくくする。関節包縫縮
関節を覆う膜を縫い縮めることで、膝蓋骨が横方向に動くすき間をなくす。
- 術後管理
- ・6〜8週間の安静
・リハビリ
・レントゲンによる定期チェックで修復度合の経過観察

- ≫

治療例(症例紹介)
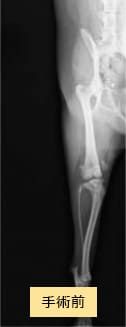
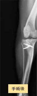
症例1
パピヨン×マルチーズ(10ヶ月齢、雌)グレードV 外科手術
- 【初診時症状】
- お散歩時跛行し、以降頻繁に外れるようになった
- 【手術】
- 脛骨粗面転位術、関節包縫縮を実施
- 【経過】
- 同居犬がおり、安静の維持が難しいため、術後2週間入院。術後4週間で屋内での運動制限を徐々に解除、8週間でお散歩の距離を少しずつ伸ばしていくも歩行問題なし。術後しばらくは右後肢の術創を気にして舐めていたが経過観察期間に徐々に消失。現在は制限なく生活。

症例2
チワワ×マルチーズ(4歳10ヶ月齢、雌)グレードU〜V 外科手術
- 【初診時症状】
- 他院にて両後肢パテラグレードVと診断
手術を希望されて受診
- 【手術】
- 滑車溝形成術、脛骨粗面転位術、関節包縫縮を実施
- 【経過】
- 性格的にご自宅での安静が難しいため、術後2週間入院。術後4週間で屋内での運動制限を徐々に解除、8週間でお散歩の距離を少しずつ伸ばしていくも問題なし。
現在は制限なく生活

症例3
チワワ×パピヨン(3歳3ヶ月、雄)グレードU 温存
- 【初診時症状】
- 10ヶ月齢時、フローリングで滑り右後肢痛がって受診
触診にて右後肢パテラグレードUと診断
- 【治療】
- 鎮痛剤による内科治療
- 【経過】
- 2歳時に再度跛行で内科治療を行い、以降は落ち着いている。

当院の特徴
- ■整形を強みとした獣医師が常駐
- ■高解像度レントゲン完備
よくある質問(FAQ)
- Q1. 術後何日で退院できますか?
- A1. 通常1〜2週間の入院(性格やご自宅の環境を考慮し決定)。
術後の痛み管理・安静指導を行います。
- Q2. 再発予防はどうすればよいですか?
- A2. 体重管理、定期的な関節チェック、リハビリやサプリメントの継続が重要です。
お問い合せ
膝蓋骨脱臼(パテラ)でお悩みの方は、専門獣医師による早期診断・治療をおすすめします。セカンドオピニオンとしても受付しております。

















